









WATANABE DENTAL CLINICの
実際にマウスピース矯正を行った患者様の
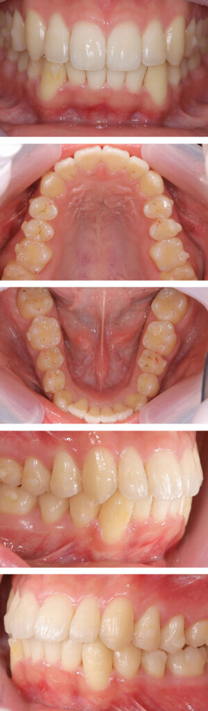
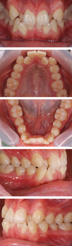
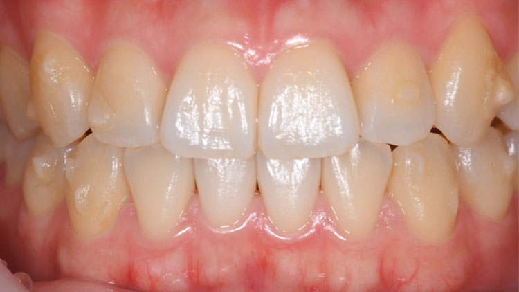
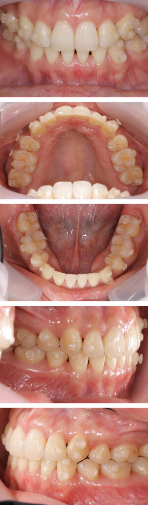
年齢/性別
主訴
治療内容
治療期間
費用
リスク・副作用
ドクターの一言
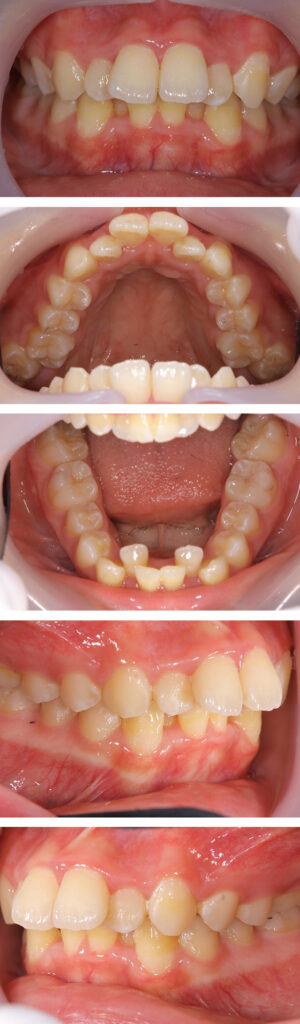
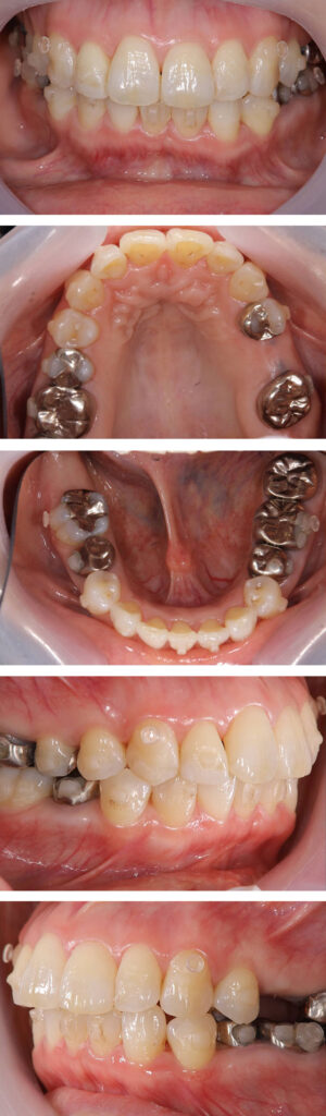
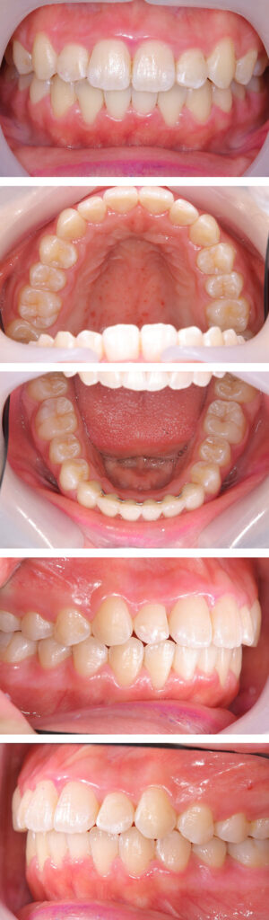
年齢/性別
主訴
治療内容
治療期間
費用
リスク・副作用
ドクターの一言
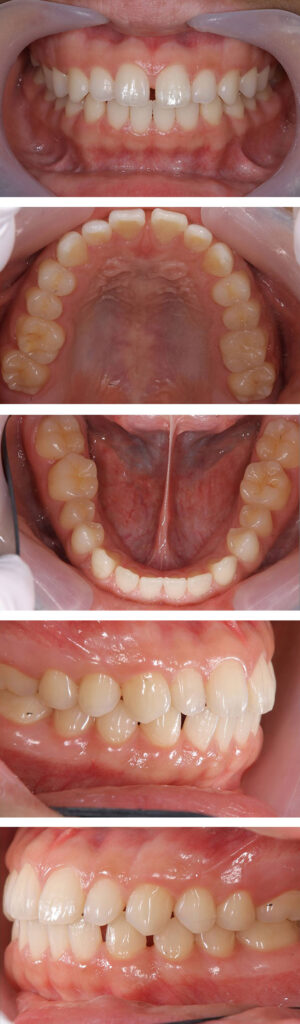
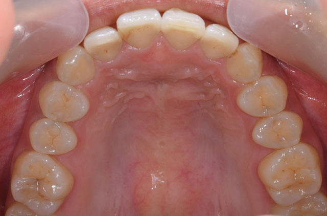
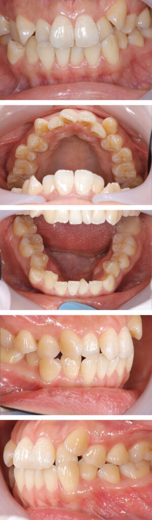
年齢/性別
主訴
治療内容
治療期間
費用
リスク・副作用
ドクターの一言
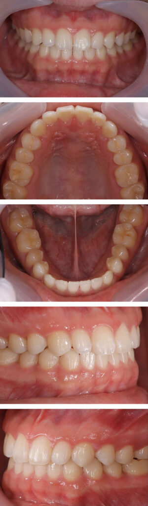
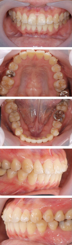
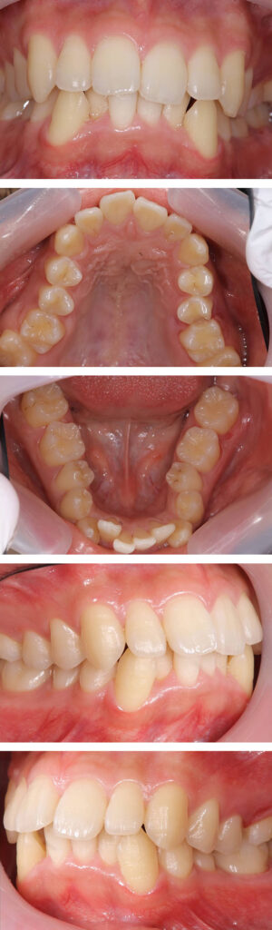
年齢/性別
主訴
治療内容
治療期間
費用
リスク・副作用
ドクターの一言
年齢/性別
主訴
治療内容
治療期間
費用
リスク・副作用
ドクターの一言
年齢/性別
主訴
治療内容
治療期間
費用
リスク・副作用
ドクターの一言
年齢/性別
主訴
治療内容
治療期間
費用
リスク・副作用
ドクターの一言
年齢/性別
主訴
治療内容
治療期間
費用
リスク・副作用
ドクターの一言
年齢/性別
主訴
治療内容
治療期間
費用
リスク・副作用
ドクターの一言
年齢/性別
主訴
治療内容
治療期間
費用
リスク・副作用
ドクターの一言
REASON
REASON 01
院長は、国内外での講演活動や専門誌・学会誌への論文発表など、豊富な実績を持つ歯科医師です。
インビザライン治療においては、他の歯科医師に治療技術を指導する「インストラクター」としても活動しており、教育・指導の分野でも実績を重ねています。
指導的立場にあるドクターが、難易度の高い症例に対しても自ら治療計画を立案し、責任を持って治療にあたります。
当院は総合歯科でありながら、年間約80症例のインビザライン治療を行っており、2021年には前歯矯正に特化した「インビザラインGO」において、院長が症例数国内トップ100の歯科医師に選出されました。
また同年、青森県内で症例数最多のドクターとなり、インビザライン社よりプラチナプロバイダーの認定を受け、「No.1 in Aomori」と刻まれたクリスタルを授与されています。
REASON 02
REASON 03
当院は、全顎矯正に対応する「インビザライン・フル」と、前歯矯正に特化した「インビザラインGo」の両方を取り扱う、数少ない歯科医院です。
さらに、矯正専門医(非常勤)が2名在籍しており、マウスピース矯正のみでは対応が難しい症例に対しても、ワイヤー矯正での治療を提案することが可能です。
患者さまのご希望やご予算に応じて、無理のない治療プランをご案内いたします。まずはお気軽にご相談ください。
REASON 04
当院では矯正だけでなく、虫歯・歯周病治療、予防、審美、インプラント治療などの多岐にわたる総合歯科診療を行っております。
治療ごとに他の医院を掛け持ちする必要がなく、矯正中のトラブルにも一貫して対応できます。
REASON 05
インビザライン専任のコーディネーターが在籍しており、初回相談での疑問や、費用に関する不安、治療中の細かな質問まで、患者様に寄り添い丁寧にお答えします。
現場での対応はすべて国家資格を持つ歯科衛生士が行い、専門的な立場からきめ細かなフォローを実施いたします。
REASON 06
マウスピース矯正は、ワイヤー矯正に比べ調整が少なく、お忙しい方や遠方の方でも無理なく通院を続けやすい治療法です。
当院は八戸市田向に位置し、お車でのアクセスも良好です。周辺には商業施設も多く、青森市や二戸方面から「お買い物のついで」に通院されている方もいらっしゃいます。
REASON 07
当院は、インビザライン社公認ファカルティ(高度な知識を持ち、歯科医師の教育・指導を行う講師)である、くぼた矯正歯科クリニックの久保田 衛 氏と技術提携を行っています。
公認ファカルティは、日本国内に数千人いるインビザラインドクターの中でも、約20名のみが認定されている資格です。その専門家との連携により、より精度の高い矯正治療を行っています。
ABOUT INVISALIGN
INVISALIGN
インビザラインは、透明のマウスピース(アライナー)を段階的に交換しながら歯を動かす矯正方法です。 透明・痛みが少ない・取り外せるという特長から、若い世代だけでなく、仕事で人前に立つ方や中高年の方にも人気です。
周囲にほとんど気づかれず、接客業・営業職でも安心。
食事や歯磨きはいつも通り。 むし歯・歯周病のリスクも低く衛生的。
薄く柔らかい素材のため、口内を傷つけにくい。
軽度の乱れ・前歯のみの矯正は、短期間で完了する場合があります。
プラスチック素材で作られているため、アレルギーの方でも安心。
FOR ADULTS
AGELESS
そう思っていませんか?
40代~60代からの矯正が、今増えています。
歯並びが整うと、歯磨きがしやすくなり、歯を失う二大原因である「歯周病」と「虫歯」のリスクが減少します。80歳になっても自分の歯で食事を楽しむために、矯正は非常に有効な手段です。
口元の突出感やガタつきは、実年齢以上に老けた印象を与えてしまうことがあります。口元が整うことでフェイスラインがすっきりし、清潔感が生まれ、お顔全体がマイナス5歳若く見えるような印象につながります。
自分の歯でしっかり噛めることは脳への血流を促し、認知症の予防効果に期待できるといわれています。 噛み合わせを整えることは、全身の健康を守ることと直結します。
FLOW
まずは、現在のお悩みやご希望を丁寧にお伺いします。
「長年歯並びにコンプレックスがある」
「自分の今の歯並びが正しい状態なのか知りたい」
「どのような矯正方法が自分に合っているのか分からない」
といった、どんな小さなお悩みでもお聞かせください。
お口の状態を確認したうえで、インビザライン治療の概要やメリットについて分かりやすくご説明いたします。
※無料相談の中でiTero(3Dスキャナー)による口腔内スキャンや、レントゲン撮影などを行う場合は、別途費用が発生いたしますのであらかじめご了承ください。
より精密な治療計画を作成するため、お口の状態を詳しく検査します。 レントゲン撮影や、iTeroを用いたデジタル採得(型取り)を行います。
当院ではiTeroを用いた3Dシミュレーションを行っており、どのように歯が動き、最終的にどのような歯並びになるのかをその場でお見せすることが可能です。
また「スマイルビデオ」を活用し、治療後のあなたの笑顔を動画形式で確認できる体験もご用意しており、未来の自分をイメージしながら納得して治療を開始していただけます。
精密検査の結果とシミュレーションデータに基づき、歯科医師が作成した詳細な治療計画をご説明します。治療のゴールや、必要となる治療期間、総額の費用などを具体的にお伝えしますので、内容にご納得いただいてから正式なご契約となります。
患者様専用にオーダーメイドで作成された透明なマウスピース(アライナー)が届きましたら、いよいよ治療が始まります。初回の来院時には、マウスピースの正しい付け外し方法や、1日20時間以上という装着時間のルール、毎日のお手入れ方法などをスタッフが丁寧にお教えします。
治療開始後は、およそ1〜2ヶ月に1回のペースで通院していただきます。計画通りに歯が動いているかをチェックし、お口のクリーニングや必要に応じた調整を行います。
通院のたびに新しいマウスピースを数セットお渡しし、理想の歯並びへと段階的に近づけていきます。
すべてのマウスピースの装着が終わり、理想の歯並びが整ったら治療完了です。しかし、矯正直後の歯は元の位置に戻ろうとする性質があるため、美しい状態を維持するための「保定期間」に入ります。
一定期間、リテーナーと呼ばれる保定装置を装着していただくことで、美しい状態の歯並びを定着させます。
PRICE LIST
| 相談料 | 無料 |
|---|---|
| 診査・簡易シミュレーション ※レントゲン撮影 ※iTero口腔内スキャン ※歯並び3Dシミュレーション |
6,050円 |
| 診断料 | 55,000円 |
|---|---|
| 施術料 上下 | 500,000円 |
| リンガルリテーナー | あり: 55,000円 なし: 33,000円 |
| 合計 | 588,000円~610,000円 |
| ローン利用時 | 月額 7,900円~ ※610,000円を96回の分割払いの場合 |
| 診断料 | 55,000円 |
|---|---|
| 施術料 上下 ※リテーナー込み | 880,000円 |
| 合計 | 935,000円 |
| ローン利用時 | お問い合わせください |
| 診断料 | 55,000円 |
|---|---|
| ワイヤー施術料 | 880,000円 |
| 合計 | 935,000円 ※ワイヤー矯正は矯正専門医師が施術致します。 ※施術料は治療が始まる前にお支払いをお願いいたします。 ※毎月の処置料5,500円がかかります。 |
| ローン利用時 | お問い合わせください |
医療費控除とは、患者さまご本人や同一生計のご家族が、1年間(1月~12月)に支払った医療費の合計が10万円を超えた場合に、一定の金額が所得税などから還付される制度です。
申請時期は確定申告と同じく2月~3月です。
申請の際に必要となる書類がありますので、1年間の医療費の領収書は大切に保管しておきましょう。
DENTAL LOAN
GREETING
「矯正したいけど、どこでやればいいかわからない」
「高額だから失敗したくない」
そう思うのは当然です。
私はインビザラインGOの指導医として、多くの歯科医師に技術を教える立場にあります。だからこそ、患者様には「正しい診断」と「正直な提案」を心がけております。
当院には、八戸市内だけでなく、岩手県北部や青森市、むつ市など遠方からも多くの患者様がいらっしゃいます。「ここに来てよかった」と言っていただけるよう、最新のデジタル技術と確かな技術で、あなたの笑顔づくりをサポートします。 歯並びでお悩みの方、矯正治療を検討している方は、お気軽に無料相談にお越しください。
院長 渡辺 理平
Q & A
透明なマウスピース型の装置を使って歯を動かす矯正方法です。
ワイヤーやブラケットを使わないため目立ちにくく、食事や歯みがきの際には取り外すことができます。見た目や生活のしやすさを重視される方に人気の治療法です。
ほとんどの方は普段どおりに会話できます。
舌側矯正のように極端に話しづらくなることはありませんが、治療を始めたばかりの頃は少し違和感を覚える場合があります。
マウスピースは取り外しができるため、大事な会議や面接などの際は一時的に外すことも可能です。
取り外し可能なマウスピースですので、歯磨きの邪魔にはなりません。
今までのお手入れと同様に歯磨きと仕上げ磨きでお子さんのサポートができます。
治療を始めるにあたって遅いということはありません。
お子さんにとって最適な方法をご案内しますので、遠慮なくご相談ください。
小学生のうちは骨がやわらかく、痛みをほとんど感じないことが多いです。
中学生以降でも、マウスピース矯正は歯の移動を細かくコントロールできるため、痛みは比較的少なめです。
万が一痛みが出た場合も、負担を軽減する方法がありますのでご安心ください。
そのため、歯ならびを整えることは見た目だけでなく、全身の健康維持にもつながります。
永久歯に生え変わった後でもインビザラインで矯正可能です。
中学生・高校生でも永久歯に生え変わっている場合は成人矯正同様に抜歯が必要になることもあります。
ぜひ無料相談をご活用ください。
CLINIC








〒031-0011 青森県八戸市田向2丁目6-10
TEL : 0178-38-8031
| 診療時間 | 月 | 火 | 水 | 木 | 金 | 土 | 日 |
|---|---|---|---|---|---|---|---|
| 8:30-12:30 | ● | ● | ● | ▲ | ● | ● | / |
| 14:00-18:00 | ● | ● | ● | ▲ | ● | ● | / |
<休診日> 木曜・日曜・祝日
▲:祝日がある週は木曜日診療いたします
CONTACT
8:40~12:30 / 14:00~17:30
[休診日] 日曜 / 祝日 / 第1・3・5木曜 / 第2・4土曜
※ 祝日のある週は、木曜・土曜診療有