ホワイトスポット治療

WHITE SPOT

前歯の白い斑点
削らずにキレイにしませんか?

「歯の表面にある白い斑点が気になる」
「虫歯ではないと言われたけれど、見た目を治したい」

そんなお悩みを抱えていませんか?
当院では、歯を一切削らずに白い白濁(ホワイトスポット)を改善する新しい治療法「Icon(アイコン)」を導入しています。

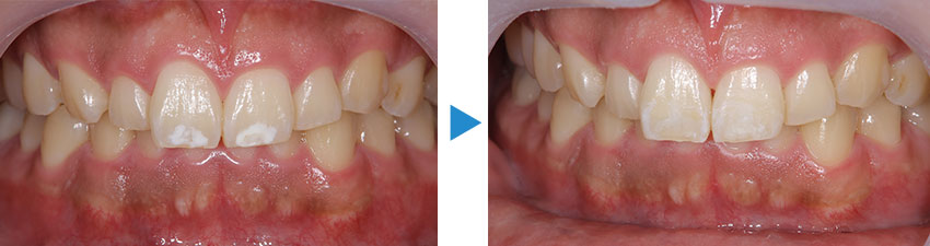
症例

Case(ICON)

主訴 前歯の白い斑点をなくしたい
治療法 ICON治療
治療費 49,500円
リスク 白斑の種類や深さによって効果に差があります

Icon治療とは?

歯を削らない
ホワイトスポット治療

Icon(アイコン)は、歯科医療先進国であるドイツのDMG社が開発した、画期的なホワイトスポット治療薬です。

従来、ホワイトスポットの治療は「削ってプラスチックを詰める」か「フッ素を塗って経過観察する」のが一般的でした。しかしIconは、低粘度の特殊なレジン(プラスチックの液)を歯の白濁部分に直接浸透させることで、歯を削ることなく、健康な歯質を残したまま見た目を美しく改善します。

ICONの特徴

  • 注射・ドリル不要で痛みがほとんどない
  • 健康な歯を削らない(低侵襲)
  • エナメル質を補強し、初期むし歯の進行を防ぐ
  • 1回の通院で治療が完了し、その日のうちに効果を実感できる

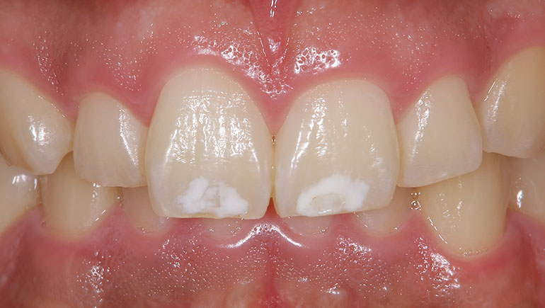
ホワイトスポットとは?

歯の表面に見られる白い斑点

歯の表面の一部が、チョークのように白く濁って見える状態のことです。
痛みは伴いませんが、健康な歯と光の屈折率が異なるため白く浮き上がって見え、特に前歯にできると目立ちやすいのが特徴です。写真撮影時や、人前で笑う際などの心理的なストレスに繋がることも多くあります。

ホワイトスポットの原因

初期のむし歯

虫歯菌が出す酸によって、歯のエナメル質からカルシウムやリンなどのミネラル成分が溶け出した状態です。表面に穴は開いていませんが、放置すると本格的な虫歯へと進行してしまいます。特に、歯列矯正の装置を外した後に見つかることが多くあります。

エナメル質形成不全

歯が作られる時期(お母さんのお腹の中にいる時や乳幼児期)の栄養障害、病気、外傷、遺伝などが原因で、エナメル質が正常に作られなかった状態です。虫歯とは異なり歯の密度は正常ですが、見た目の変色が起こります。

初診WEB予約

問診表 事前記入のお願い

当院では、初めてご来院の方や、しばらく来院されていない方に
問診票の事前記入のご協力をお願いしております。